有的人身怀绝技,却默默无闻。下面跟随师傅看看什么样的人总会怀才不遇。不聚财.

嘴巴尖的人说话刻薄不聚财
嘴巴凸凸尖尖的,这样的人会话很多,爱讲话,言多必失,因为讲话会惹是非,一生中就起伏比较多,而且一旦跌倒了就没办法再翻本,因为说出去的话根本收不回来。
神色不明眼神浑浊
眼睛是一个人的心神所系,是智慧的外现,女人的眼神浑浊,神色混乱,那么一生一事无成,只是根据周围的环境随波逐流,不能自主人生。

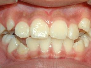
牙齿参差不齐有龅牙的人难出人投地
牙齿参差不齐过突出的男人,个性亦较放荡、好色,人缘不佳。就算在工作,人际上再如何努力,也通常要非常长的时间才看得出成效,所以这样的人很难有出人头地的那一天。属于不聚财的面相。
鼻细露骨算计心重破财多
在面相学中,无论男人女人鼻细露骨的都是尖酸刻薄之相,从来不舍得为别人花一分钱,只想在别人那不劳而获,所以这种内心只有自己的人,一辈子都做不成富翁,而且还会是个穷命鬼。

印堂斜纹
印堂有纵纹或者川字纹的女人,刚强难化,难服难调,很容易走入强势女人行列,女人的本性是阴柔的,违反了这个规则,那么就伤了男人,也就是伤了自己的运势。
版权声明
本文仅代表作者观点,不代表本站立场。
本文系作者授权发表,未经许可,不得转载。